Soluciones excepcionales para técnicos y laboratorios
anaxDENT es una marca reconocida internacionalmente por sus soluciones premium en estética dental, desarrolladas para técnicos y laboratorios que buscan resultados excepcionales. Su portafolio incluye materiales de alta calidad para caracterización, maquillaje y personalización de restauraciones, logrando resultados naturales y duraderos.
¡La pasta para pulir más popular del sistema anaxDENT! Ayuda con el pulido para conseguir las más hermosas superficies de composites y acrílicos, con una mezcla de partículas de óxido de aluminio y de diamante.
Pasta Grigia I
Creada para hacer el pulido final de la cerámica. De lejos de las mejores que se pueden encontrar en el mercado. La aplicación de esta pasta de pulir diamantada permite eliminar inclusive las más pequeñas imperfecciones.
Pasta Grigia II
● Pasta de contacto para el control visual de las imperfecciones en las restauraciones dentales. Se aplica en finas capas y reproduce detalles muy claramente.
● Ideal para cerámica total.
● Quema sin dejar residuos y se elimina fácilmente con agua.
Pasta Rossa
anaxGUM
AnaxGUM es un composite de color gingival para la reconstrucción estética de la encía que puede ser aplicado directamente en la boca, en supra-estructuras sobre implantes, en coronas y puentes, en restauraciones removibles así como para la individualización de dentaduras completas.
anaxGUM
Opaquer
Dos opaquers con diferentes tonalidades rosadas con una opacidad excelente, para ser aplicados en capas finas y con excelentes cualidades de fotopolimerización.
Si se trabaja con Zircon Bonder, también se puede utilizar sobre estructuras de circonio
Gingiva flow
anaxGUM
Todos los colores corresponden exactamente con los colores de anaxGUM paste. Así, son posibles correcciones y reproducciones de zonas de encía de un modo fácil y limpio
Gingiva paste
anaxGUM
Enriquecido con rellenos orgánicos para alcanzar una dureza alta y resistencia a la abrasión. Lo que hace de estas pastas que tengan un color real, uso fácil y buena polimerización final.
Paint
anaxGUM
Estos colores están desarrollados sobre todo para «la estética rosa», facilitan una caracterización real en la transición de la encía artificial a la encía natural y que sea prácticamente invisible. Una combinación perfecta de colores translúcidos y opacos
anaxGUM cuenta con kits del producto, que ofrecen una solución sencilla para recuperar el aspecto natural de las encías.
anaxGUM kits
-
Opaquer PO I claro
Opaquer PO II oscuro 3 g
Gingiva Pasta 4 g, colores: Rosa claro, rosa oscuro, rosa anaranjado, rosa púrpura y rosa amarronado.
Paint 3 g, colores: rojo, púrpura, crema y marrón oscuro
Anaxrack XL
4 cánulas de cierre
-
Gingiva Pasta 4 g cada una, colores: Rosa claro y rosa oscuro.
Paint 3 g, colores rojo y púrpura .
2 cánulas de aplicación.
New Outline
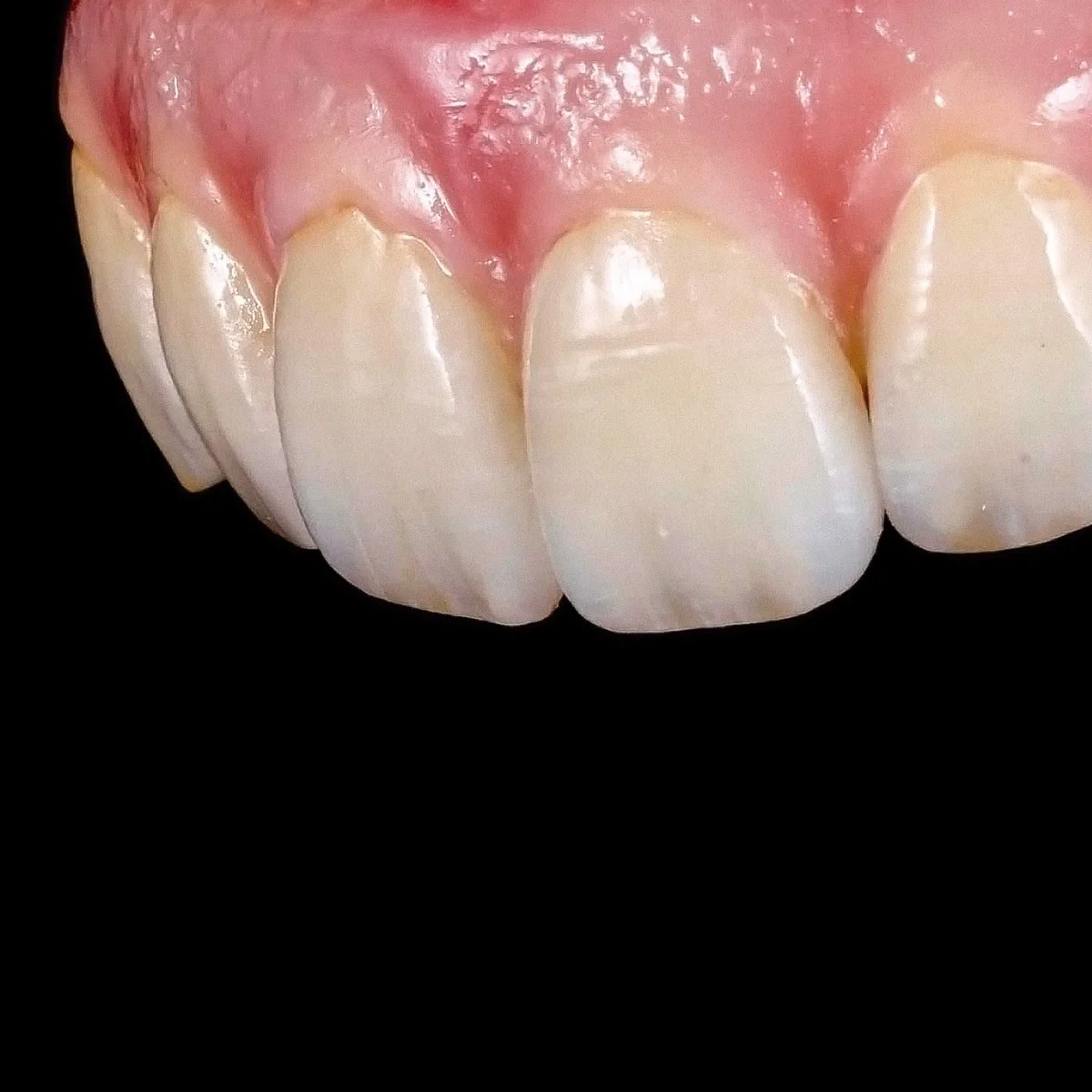
El sistema de recubrimiento en base a New Outline es un sistema altamente flexible y versátil, gracias a sus diferentes posibilidades de combinación es perfecto para restauraciones provisionales de larga duración y que requieran una estética excelente. Gracias a sus dentinas densas y excelentes matices se puede usar para elaborar desde coronas unitarias hasta restauraciones sobre implantes, mock-ups, onlays y dentaduras secundarias así como para ampliaciones y reparaciones.
Dentinas New Outline
-
Proporcionan una buena estabilidad de color incluso en zonas muy finas.
Si se mezcla con Bonding Fluid, es posible fijar dientes prostéticos.
El material puede ser fácilmente ajustado y pulido.
Disponible en colores VITA y blanco.
-
Buena intensidad (croma y valor) de las dentinas.
Colores orange y ivory.
-
Dan a las restauraciones un toque natural coordinando su valor y tonalidad.
Disponible en valores alto (blanquecino), medio (universal) y bajo (universal).
-
Acrílico provisional transparente.
Sumamente estable para la creación de superficies naturales.
Color transpa clear.
-
Líquido para trabajar en frío el polvo New Outline.
Presentación: Frasco de 100 ml, 250 ml, 500 ml, 1000 ml
New Outline
Skin Primer
Compuesto autopolimerizable para el sellador de superficie Skin Glaze PMMA.
New Outline
Bonding Fluid
Ofrece unión química de diferentes productos acrílicos, compuestos y materiales BIS-GMA.
New Outline
Skin Glaze
Compuesto fotopolimerizable con base composite, ideal para sellado de superficies. Proporciona un glaseado brillante y larga durabilidad.
New Outline kits
New Outline intro kit
-
New Outline Dentina A2, 10 g
New Outline Dentina A3, 10 g
New Outline Valor medio, 10 g
Líquido 25 ml
New Outline Starter Kit S
-
White Dentin 100 g
Dentina A1 100 g
Dentina A2 100 g
Dentina A3 100 g
Skin Primer 10 ml
Skin Glaze 10 ml
Líquido 100 ml
Transparent Clear 100 g
Incisal Valor Medio Blanquecino 100 g
Incisal Valor Medio Opalescente 100 g
New Outline Starter Kit XL
-
White Dentin 100 g
Dentina A1 100 g
Dentina A2 100 g
Dentina A3 100 g
Dentina A4 100 g
Transparent Clear 100 g
Incisal Valor Medio Bajo 100 g
Incisal Valor Alto 100 g
Líquido 10 ml
Bonding Fluid 10 ml
Skin Glaze 10 ml
Skin Primer 10 ml
Opaquer A23 g
Líquido Opaquer 10 ml
Matrix
-
Silicona de duplicado pura, sin tintes ni material de relleno, cristalina. Garantiza la reproducción absolutamente exacta de modelos .Previene la formación de burbujas; por lo tanto, los materiales fotopolimerizables pueden trabajarse con total seguridad. Su dureza hace que sea fácil desprenderla de los modelos.
-
La silicona naranja de duplicado, fina y resistente, reproduce detalles con mucha exactitud. Ofrece una gran capacidad de reposicionamiento y un tiempo de trabajo de apenas 3 minutos. Su dureza hace que sea fácil desprenderla de los modelos.
-
Silicona por poliadición con una dureza shore de 60, fácilmente maleable. Su alto contenido de aceite le impide secarse rápidamente y permanece estable durante varios meses. Es fácil de pulir, escanear o cortar. Sirve para todo tipo de aplicaciones clásicas en el laboratorio o en clínica.
-
Silicona transparente por poliadición con un sistema práctico de cartuchos. La dureza shore de 70 es ideal para la aplicación de un waxup directamente en boca. Su fácil manipulación, fluidez y estabilidad la convierten en una silicona ideal para fabricar matrices de manera sencilla y rápida de polimerizar.
-
Silicona rosa por poliadición con un sistema de cartuchos 1:1 para la reproducción de los modelos gingivales, con una dureza shore de 70, que la hace fácil de cortar, estable desde el punto de vista dimensional y suficientemente elástica para su manipulación convencional.
-
Descripción del eleSilicona por poliadición con un sistema práctico de cartuchos 1:1 para realizar encofrados o elementos provisionales, con una dureza shore de 56. Esta silicona es ideal para la producción de muñones. El hecho de trabajar directamente sobre silicona y no sobre el yeso, hace que el muñón no se rompa; no se requiere ningún separador.ento
La finura de las siliconas de la gama Matrix las hace tan precisas, que inclusive superficies muy brillantes se reproducen exactamente y pueden trabajarse con mayor facilidad. Para confeccionar provisionales, prótesis removibles o llaves de transferencia se necesitan siliconas de alta precisión que ofrezcan ajustes exactos y precisos a la hora de trabajar.
anaxBLEND
El sistema de recubrimiento en base a composites de anaxBLEND une las masas en pasta de varios rangos de dureza con una gran variedad de masas fluidas (75% de contenido en relleno de cerámica). Los esmaltes en pasta tienen una estabilidad y una dureza similar al esmalte natural mientras que los colores y las masas transparentes permiten la realización de trabajos estéticos. AnaxBLEND se puede aplicar tanto modelando por técnica de capas, como inyectándolo en las muflas o duplicadores.
anaxBLEND paste
-
Incisales en pasta adaptados a los colores de las dentinas para caracterizar la restauración.
-
Las dentinas ofrecen una alta fiabilidad de color, un equilibrio de opacidad y translucidez sin dejar bordes visibles en las capas del esmalte. El material puede ser modelado con precisión
-
Opaquer fotopolimerizable, con una buena capacidad de recubriemiento y fácil de utilizar, asegura colores cálidos y una excelente unión a la estructura.
-
Dentina opaca en pasta con un intenso tono amarillo-naranja para realzar el tono y el croma.
-
Incisales en pasta adaptados a los colores de las dentinas para caracterizar la restauración.
-
Proporciona opacidad y traslucidez. El material se puede utilizar inyectándolo, tiene alta estabilidad en color, y no deja bordes visibles en las capas del esmalte.
-
Materiales transparentes fluidos
-
El color intenso de este material (naranja) lo hace el ideal para simulación de mamelones y para imitar un efecto de profundidad en dientes posteriores
anaxBLEND flow
anaxBLEND colors
-
Clear, Blanco, Amarillo, Naranja, Azul, Caqui, Marrón, Chocolate
-
Clear, Blanco, Amarillo, Naranja, Azul, Caqui, Marrón, Chocolate
Anaxbrush el No. 00,
Colors S Rack
5 Cánulas de Aplicación
5 Cánulas de Cierre
Zircon bonder
Adhesivo para unir estructuras de circonio y con el composite. Basta con aplicarse directamente sobre la estructura arenada y dejar secar.
Metal bonder
Monómero líquido de baja viscosidad que se aplica directamente. Proporciona una excelente unión entre metales y productos acrílicos o composites de todas las clases.
Bond LC
Bonding fotopolimerizable para unir composites a acrílicos PMMA o BIS, generar unión entre los dientes y la dentaudra de PMMA, para el rebase de provisionales de bisacrils o prótesis combinada polimerizada sobre acrílico.
Divorce
Separador de siliconas. Una película muy fina proporciona la exactitud requerida y permite, posteriormente, una separación fácil.
Pekk bond
Adhesivo fotopolimerizable para estructuras de PEEK / PEKK y productos acrílicos o composites asegurando la adherencia de los materiales.
Model LC
Líquido de modelado para productos acrílicos que realza la viscosidad durante el modelado.
anaxBLEND kits
anaxBLEND intro kit
-
Opaquer 3 g, color: O-A2
Dentina pasta 4 g,color: D-A
Enamel pasta 4 g, color: S-58
-
Opaquer 3 g, color: O-A2
Dentina fluida 3 g, color: D-A2
Incisal fluido 3 g, color: S-58
2 cánulas de aplicación
2 cánulas de cierre
anaxBLEND kit S
-
Opaquer 3 g, colores: O-A2 y O-A3
Dentina pasta 4 g, colores: D-A2 y D-A3
Enamel pasta 4 g, color S-59
Anaxrack XL
-
Opaquer 3 g, colores: O-A2 y O-A3
Dentina fluida 3 g, colores: D-A2 y D-A3
Incisal fluido 3 g, color: S-59
3 cánulas de aplicación
3 cánulas de cierre
Anaxrack
anaxBLEND kit XL paste
-
Opaquer 3 g, colores: O-A1, O-A2, O-A3, O-A3.5, O-B2, O-B3, O-C2 y O-D3
Dentina pasta 4 g, colores: D-A1, D-A2, D-A3, D-A3.5, B2, D-B3, D-C2 y D-D3
Enamel pasta 4 g, colores: S-57, S-58, S-59 y S-60
Transpa NT / Bond LC 10 ml / Model LC ml
Anaxbrush No. 04
Cover Gel 3 g
Pasta Grigia I
Sistema completo en pasta
Acryline
Acryline de anaxDENT es una resina universal polimerizable en frío, adecuada para todas las indicaciones en la técnica de acrílicos. Permite hacer restauraciones removibles sobre implantes o dentaduras parciales con una imagen óptica perfecta, como si fuera encía natural.
El material fué creado para alcanzar una estética similar a la naturaleza, suministrado desde opacidad normal hasta muy alta opacidad; es resistente a las fracturas, tiene un alto límite de resistencia a la tracción y absorbe sólo un mínimo de humedad. Los diferentes tonos, los opacos y los colores rosados cubren todas las exigencias para una excepcional estética en la zona de tejido blando.
Acryline Powder
-
Sirve como un material universal para férulas y guías de implantes, casi no tiene contracción, es muy estable, tiene buena homogeneidad y polimeriza sin burbujas. Es fácil de mezclar, fluido y adecuado para técnica de inyección.
-
Su poca opacidad (30%) le convierte en ideal para rebases y reparaciones.
-
Opacidad del 50% y su color rosado similar al color gingival más común.
-
Rosa claro con la opacidad adecuada (60%).
-
El rosado con la opacidad más alta (80%). Ideal para cubrir las estructuras o decoloraciones.
-
Modificadores sumamente pigmentados para una fácil y rápida caracterización de las partes gingivales. Estos colores premezclados aseguran la total reproductividad de la estética rosa.
Colores Acryline
Clear
Regular
Pink
Light pink / Stuttgart
Dark pink
Líquido autopolimerizable
Monómero líquido autopolimerizable formulado para la polimerización en frío de los polvos Acryline.
Acryline Liquid
Accesorios anaxDENT
Los productos anaxDENT cumplen con las exigencias más altas. Para esto, suministramos accesorios y materiales para hacerle feliz. Armonizados con las necesidades de los laboratorio para alcanzar aún mejores resultados o mayor rapidez en los procesos de trabajo.
Pistola dispensadora para cartuchos
Compatible con todos los materiales.
Permite las dósis 1 : 1, 2 : 1, 4 : 1 ó 10 : 1 sin problemas.
Se cambia el adaptador: Pistola ergonómica y fácil de limpiar.
Dispenser gun
Unidad de fotopolimerización
Ideal para trabajar óptimamente y con seguridad todos los composites y materiales de impresión 3D habituales.
Manejo fácil y casi sin contacto con 3 intensidades de luz diferentes y 5 tiempos de exposición diferentes.
Light Box
Calentador de jeringuillas
Dispositivo para calentar composites dentales que facilita su manipulación, mejora la fluidez y reduce su viscosidad.
Su sistema de calentamiento con regulación de temperatura permite ajustar el calor según las necesidades del material.
Warm Up Heater
Liberador de tensión universal
Agente liberador de tensión universal para impresiones de alginato, poliéster o silicona.
Ayuda a las superficies de acrílico o cera a alcanzar excelentes propiedades. Libre de disolventes y formaldehído.
